Верните Улыбку Мечты!

Ваша улыбка – это ваше сокровище! Не дайте проблемам с прикусом украсть её блеск.

Вы уже сделали первый шаг к красивой и здоровой улыбке, посетив консультацию ортодонта. Но что будет, если отложить лечение "на потом"?

Расположение элементов зубочелюстной системы напрямую сказывается на эстетике. Особенности строения черепа влияют на черты лица, стремительное развитие аномалии меняет внешний облик, ведет к потере важных эстетических данных. Среди самых распространённых проблем:

  • Слегка приоткрытый рот.
  • Наличие впалых щек.
  • Опускание уголков рта.
  • Формирование асимметрии.
  • Наличие тяжелого подбородка.

Со временем развитие дефекта отрицательно сказывается на внешнем образе. Из-за неправильного прикуса лицо может стать кривым, может наблюдаться преждевременное появление морщин и процесса старения.

Откладывая ортодонтическое лечение, вы рискуете столкнуться с:
  • Проблемами с пищеварением: Неправильный прикус затрудняет пережевывание пищи, что может привести к проблемам с желудочно-кишечным трактом.
  • Болями в челюсти и головными болями: Неправильное положение челюстей вызывает напряжение мышц, приводящее к болям.
  • Разрушением зубов: Неравномерная нагрузка на зубы при жевании ускоряет износ эмали и увеличивает риск развития кариеса.
  • Заболеваниями десен: Неправильный прикус затрудняет гигиену полости рта, что способствует развитию гингивита и пародонтита.
  • Снижением уверенности в себе: Неровные зубы могут вызывать комплексы и стеснение, влияя на общение и самооценку.
Важно понимать, что "неправильный прикус" – это не просто неровные зубы. Это целый комплекс проблем, которые могут проявляться по-разному:
  • Дистальный прикус (верхняя челюсть сильно выступает вперед): Может привести к проблемам с дыханием, храпу и болям в височно-нижнечелюстном суставе.
  • Мезиальный прикус (нижняя челюсть выступает вперед): Затрудняет пережевывание пищи и может привести к дисфункции височно-нижнечелюстного сустава.
  • Открытый прикус (между верхними и нижними зубами остается щель): Нарушает дикцию, затрудняет откусывание пищи и повышает риск развития кариеса.
  • Глубокий прикус (верхние зубы сильно перекрывают нижние): Может привести к травмированию десен и ускоренному износу зубов.
  • Перекрестный прикус (неправильное смыкание боковых зубов): Вызывает асимметрию лица, боли в челюсти и проблемы с пережевыванием пищи.
  • Скученность зубов: Затрудняет гигиену полости рта и увеличивает риск развития кариеса и заболеваний десен.

Не откладывайте здоровье и красоту своей улыбки на потом!

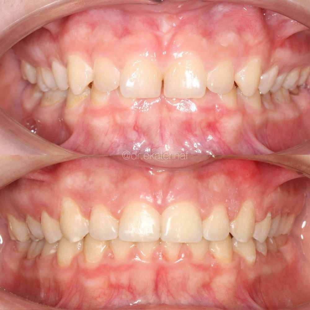
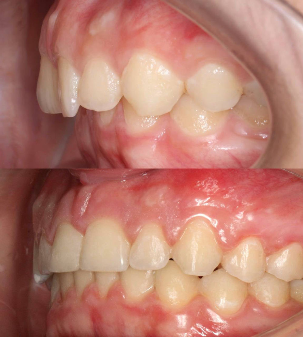
Работы наших докторов

Отзывы довольных пациентов

Остались вопросы?
Свяжитесь с нами!