Южнокорейские импланты IZEN


Показания к имплантации:

  • Потеря 1 зуба
  • Потеря нескольких зубов подряд – при потере 3 и более зубов наши врачи подбирают метод восстановления: либо несколько имплантов, либо мост с опорой на 2-3 импланта (зависит от числа утраченных зубов)
  • Потеря нескольких зубов в разных отделах челюсти
  • Потеря всех зубов (полная адентия) – применяются протоколы All-on-4, All-on-6, All-on-8

IZEN Implant - производитель дентальных имплантатов в Южной Кореи. 

Качественные и доступные по цене, зубные импланты из Южной Кореи быстро набирали популярность во всем мире и на сегодняшний день входят в ТОП-10 имплантационных систем.

Почему выбирают IZEN Implant?

Фиксатор и абатмент Zenex изготовлены из сертифицированного ТИТАНА

Преимущества:

IZEN Implant выбирают по ряду причин, связанных с качеством, надёжностью и инновациями в области дентальной имплантологии. Вот основные преимущества:

  1. Высокое качество материалов: IZEN Implant производит свои имплантаты из высококачественного титана, что обеспечивает их долговечность и биосовместимость.
  2. Инновационные технологии: Компания использует передовые технологии в производстве имплантатов, что повышает их эффективность и снижает риск осложнений.
  3. Простота установки: IZEN Implant разработал имплантаты, которые легко устанавливаются и хорошо интегрируются в костную ткань, что снижает время процедуры и улучшает результат.
  4. Надежность и долговечность: Имплантаты IZEN отличаются высокой степенью приживаемости и стабильностью, что гарантирует долгосрочный результат.
  5. Доступность и широкий выбор: Линейка продукции IZEN Implant включает различные модели и размеры имплантатов, что позволяет подобрать оптимальный вариант для каждого пациента.

Эти факторы делают IZEN Implant популярным выбором среди стоматологов и пациентов, стремящихся получить качественные и долговечные зубные имплантаты.

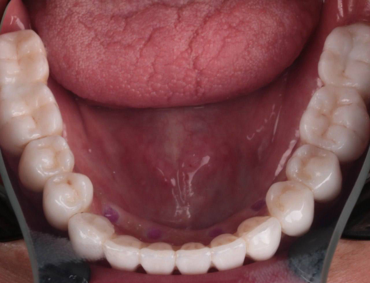
Работы наших врачей с использованием IZEN Implant

Рассрочка

до 01 сентября 2024 года действует KASPI рассрочка на 24 месяца.
Лечите зубы сейчас, платите потом!

Остались вопросы?
Свяжитесь с нами!